바다토리 웨어하우스
사랑니 발치 후 주의사항 총정리 본문
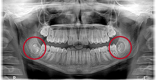
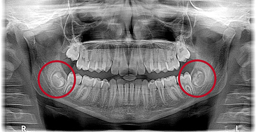
사랑니는 살면서 크게 문제가 없는 경우도 있지만 어쩔 수 없이 발치해야 하는 상황이 올 수도 있습니다. 사랑니 특성상 위치가 깊숙한 곳에 자리 잡아있기 때문에 발치 후 주의사항을 총정리해 보았습니다.

사랑니 발치 후 주의사항 총정리
첫째. 발치 후 두 시간 동안 거즈를 꼭 물고 있기

사랑니는 주로 어금니 제일 안쪽에 위치한 이빨이고 또 일반 치아와는 달리 치아가 자라나는 방향이 제각기 일 수가 있어 발치 시에는 필요에 따라 잇몸을 절개해야 할 수도 있습니다. 이런 경우 잇몸 절개와 발치에 따른 출혈이 동반되는데, 발치 후에는 거즈를 꼭 물고 2시간 동안 지혈을 제대로 해야 합니다.
어찌 보면 우리 몸에 큰 구멍이 난 경우이기 때문에 지혈이 제대로 되지 않으면 출혈이 클 수도 있으며 또 발치 부분으로 감염이 일어날 수가 있기 때문에 지혈은 꼭 필수입니다.
둘째. 발치 당일에는 침을 뱉거나 빨대사용하지 않기

침을 뱉거나 빨대를 사용하는 행동은 입안을 오므리면서 입안에 압력을 발생시키게 됩니다. 발치로 인하여 약해진 출혈부위에 빨대나 침을 뱉는 행동은 약해진 부위에 압력이 가해짐으로써 다시 출혈이 발생될 수 있거나 출혈이 심해질 수도 있기 때문입니다.
가급적 발치 당일날은 빨대사용과 침 뱉기를 삼가고 침은 가급적 삼켜 최대한 지혈이 빨리 될 수 있도록 해야 합니다.
셋째. 음주와 흡연 절대 금지

발치 후에는 음주와 흡연을 절대 금지해야 합니다. 음주의 경우는 우리 몸의 면역력을 떨어뜨리기 때문에 몸에 상처가 있는 경우에는 2차 감염의 우려로 음주를 절대 금하고 있습니다. 술을 좋아하는 사람들 사이에는 술로 소독한다는 얘기를 하는데 이는 특히나 사랑니 발치의 경우에는 절대적으로 위험한 행동이기 때문에 발치 후에는 음주는 꼭 삼가도록 합니다.
흡연의 경우는 혈액에 피를 응고시키는 것을 막는 영향을 주기 때문에 흡연 또한 발치 후 절대 삼가야 하는 행동입니다. 최대한 지혈을 빨리해야 하는 상황에서 흡연을 함으로써 발치 부분에 흡연으로 인한 감염과 혈액이 응고되는 것을 막을 수 있기 때문입니다.
넷째. 사우나 방문 금지

사우나의 뜨거운 온도는 우리 몸의 혈관을 확장시켜 혈류를 증가시키기 때문에 지혈이 되는 부위에 다시 피가 날 수가 있습니다. 또 사우나처럼 여러 사람이 공공으로 이용하는 곳에서는 제2의 감염 또한 우려가 되기 때문에 발치 후에는 사우나 같은 온도가 높은 공공장소도 피하는 게 좋습니다.
다섯째. 마취가 풀릴 때까지 음식 섭취 금지

사랑니의 경우에는 대부분 잇몸을 절개하거나 사랑니의 크기 때문에 마취를 필수로 진행하는 경우가 많습니다. 마취가 된 후에는 마취부위가 얼얼하면서 감각이 없게 되는데, 마취가 덜 풀린 상태에서 음식을 씹는 경우 잘못하면 입벽이나 혀를 깨물을 수도 있기 때문에 특별히 주의해야 합니다. 심지어 예전에 어떤 연예인의 경우 치과 마취 후 무심코 간식을 먹다가 혀가 절단되어 응급 수술을 받는 사례도 있기 때문에 특히나 치과 마취 후에는 씹는 음식물 섭취는 꼭 마취가 풀리고 난 후 섭취하도록 해야 합니다.
여섯째. 격렬한 운동 금지
사람의 몸은 상처가 있거나 하는 경우 면역력이 급속하게 떨어지게 됩니다. 심지어 사랑니 발치 후에 극도의 긴장감으로 인한 몸살이 올 수 있으며, 특히나 여러 음식물이나 세균에 노출되어 있는 입안의 경우 상처를 통해 2차 감염도 많이 발생하기 때문에 사랑니 발치 후에는 다른 세균으로 인한 2차 감염이 되지 않도록 주의를 해야 합니다. 특히나 발치로 인한 면역력이 떨어진 상태에서 격렬한 운동까지 하게 되면 몸이 더더욱 피로한 상태가 되어 면역력이 더 떨어질 수 있기에 발치 후에는 운동을 피하고 충분한 휴식을 취해주어야 합니다.
대개는 사랑니 통증이 오면서 어쩔 수 없이 사랑니를 발치하는 경우가 많은 데 사람에 따라 발치 없이 지나가는 경우도 있긴 합니다. 하지만 어쩔 수 없이 사랑니를 발치해야 하는 경우라면 사랑니처럼 큰 이빨을 뽑아야 하는 경우 발치 후 안전하게 치유될 수 있도록 위의 사랑니 발치 후 주의사항을 숙지해 두시면 유용할 정보가 될 것입니다.
'정보공유' 카테고리의 다른 글
| 모니터 불량화소 체크하는 방법 (0) | 2023.02.16 |
|---|---|
| 나라사랑카드 혜택 총모음과 재발급 받는 방법 (0) | 2023.02.13 |
| 지게차운전기능사 지게차 자격증 면허 시험에 대한 총정리 (0) | 2023.01.25 |
| 노인 보청기 국가보조금 지원 자격 신청방법과 꿀팁 (0) | 2023.01.17 |
| 국토부 지적도 열람하는 방법 (0) | 2023.01.07 |